千里丘の俊カイロ[番外編]
先輩患者が「あなた」に伝えたい事

椎間板ヘルニア

椎間板ヘルニアについて

椎間板ヘルニアに悩む人へ

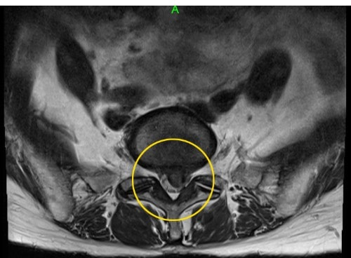
千里丘にはある全国からヘルニア患者が集まる場所が今日も誰かが痺れと向き合っている北摂でヘルニアを諦めるな※写真は患者様提供脊髄中枢神経の2/3を覆う巨大なヘルニア。何をしても痺れがある状態。でも、手術だけは絶対に避けたかった。このレベルのヘ...
2011.07.04
椎間板ヘルニアについて
椎間板ヘルニアについて

ヘルニアという診断に怖がらない。

ヘルニアという診断に怖がらない。当院は椎間板ヘルニアで「寝たきり生活」を送った院長がいるせいか、やはり、来院される方の多くは「椎間板ヘルニア」と診断を受けた方が多いです。椎間板ヘルニアという診断名は非常にパンチ力があるので、皆さん極めて意気...
2011.01.31
椎間板ヘルニアについて
前へ 1 2
ホーム
症状別
椎間板ヘルニア
先輩患者が「あなた」に伝えたい事
© 2011 先輩患者が「あなた」に伝えたい事.
  • ホーム
  • トップ

ホーム

LINE

電話

メール